삼복사 골절 교통사고 합의 사례 안내

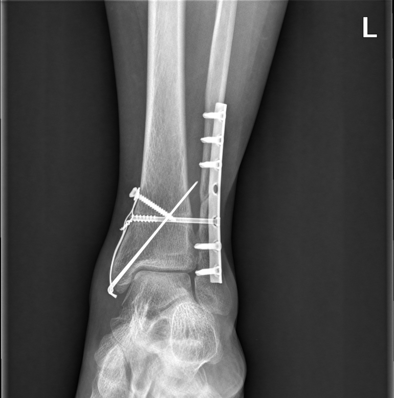
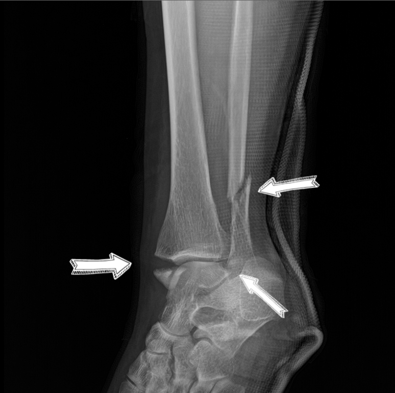
안녕하세요. 오늘 행사는 삼복골절 교통사고 합의 사례입니다.삼복사는 복숭아뼈와 정강이뼈 발목 뒤쪽의 후과를 일컫는 말입니다. 3개의 과(뼈에서 돌출된 부분)를 의미하기 때문에 ‘삼과골절’이라고도 합니다. 덧붙여서 바깥쪽 도골은 경골외과, 안쪽 도골은 비골로 구성됩니다. 위 영상은 전면부이므로 후과골절은 확인이 되지 않습니다. 아래의 X-RAY 영상을 보실 수 있습니다.

사고의 경위 및 과실

사례자의 경우 버스 하차 후, 뒷길을 건너다 가해 운전자의 전방 주시 의무 태만으로 발목이 거꾸로 되는 사고를 당했습니다. 버스 하차지점에서 약 20m 떨어진 곳에 횡단보도가 있었는데, 항상 다니는 길이기도 하고 마침 보행신호라서 횡단보도까지 가지 않고 길을 건너다 사고가 났어요. 교통사고로 인한 과실은 도로교통법이나 교통사고처리특례법 위반에 의하여 책임을 묻는 것이므로 사정이 어떻든 법률상의 “무단횡단”에 해당합니다. 다만 이면도로이므로 과실은 10%로 적용되었습니다.

사고 후의 처리 절차에서 신경 쓰이는 점

피해자는 사고 후 타 병원의 검사 결과 trimal leolar fracture (삼과골절)로 확인되었으며, 수술문제로 상급병원으로 전원 후 관혈적 정복 및 내고정술을 실시하였습니다. 사고로 인한 치료비는 보험사가 지급 보증하므로 걱정하지 마시고, 만약 비급여 치료비를 부담하셨더라도 나중에 영수증 처리가 가능하므로 걱정하지 마시고 치료에만 전념하십시오. 다만 보험사에서 피해자에게 진단서, 수술기록지, 영상판독지, 영상CD 등 다양한 서류를 요구하는 경우가 있는데, 정상적인 지급보증 절차에 필요한 서류는 진단서, 수술기록지 정도이고 영상CD는 추후 후유증 관련 분쟁시 불리할 수 있으므로 추후 제출하는 것이 좋습니다.

왼발관절 삼복사골절 왼발관절부 피부괴사 왼발관절경비인대결합파열 시점은 언제가 좋을까요

피해자 분은 위와 같이 진단을 받고 관혈적 정복 및 내고정술, 변연절제술을 시행한 후 퇴원하여 통원치료를 실시하였습니다. 변연 절제술은 괴사한 부분을 일부 절제하는 것을 말합니다. 삼복골절은 ‘외상성관절염’ 및 ‘발목의 운동각도 제한’ 등 후유증이 잔존하는 경우가 많기 때문에 합의 진행 시 후유장애를 고려하여 절차를 거쳐야 합니다.

의뢰인 분의 경우, 58세의 여성분으로, 「합의 후에 불측의 손해가 발생하면 어떻게 하면 좋을까, 핀을 벗기면 상태가 심해질지도 모릅니다만, 합의를 사전에 보면 손해 보는 것은 아닐까」라고 하는 걱정이 많았습니다만.

저는 그분에게 후유장애는 사고일로부터 6개월이 지나면 진행이 가능하지만 어디까지나 원칙을 말하는 것으로 피해자분의 상태에 따라 판정시점은 달라지기 때문에 시기는 걱정하지 말고 치료에 전념해 주십시오. 그리고 더 이상 치료효과가 없을 것 같을 때 후유증 판정을 진행하겠으니 그때 말씀해 주십시오.”라고 하셨습니다.빨리 종결하면 저는 좋겠지만 너무 성급했다고 후회하는 피해자들이 있을 수 있기 때문입니다.

사실 이분의 경우 6개월이 지나도 일주일에 두 번씩 물리치료를 받고 사고일 기준으로 1년이 된 시점에서 후유장애를 진행하고 싶다고 연락을 주셨습니다.

삼복골절 합의시 고려해야 할 점

교통사고 합의금은 소득, 과실, 장애로 구성되는데 사고 당시 주부였기 때문에 소득은 일용직 근로자 임금, 과실은 10%가 확정된 상황이었습니다. 따라서 장애만 정해지면 합의금이 산출되는데요? 교통사고 등의 손해배상 사고는 맥브라이드 방식에 의해 후유 장애를 판정하지만, 발목 골절의 경우는 발목 운동 각도에 따라 7%, 10%, 12%, 23%의 적용 기준이 있습니다. 맥브라이드 기준은 위와 같은 퍼센트도 중요하지만 일시 영구장애와 같은 장애기간도 중요합니다.

사례는 위와 같이 가장 심한 23%, 영구 장애로 판정되었습니다. 물론 후유증이라는 것은 앞으로 몸에 남아 있는 증상이기 때문에 누구도 확정할 수 없습니다. 그렇기 때문에 판정마다 결론이 다를 수밖에 없습니다. 그러나 이 분의 경우 영상검사상 관절염이 관찰되며 관절염은 살면서 정도에 차이가 있을 뿐 아니라 없어지는 것은 아니라는 점, 피해자가 더 젊은 나이가 아니기 때문에 관절염에 대한 신체적응도가 적다는 점을 고려할 때 시간이 지날수록 오히려 악화될 수 있다는 점을 근거로 영구장애라고 주장했습니다.

물론 보험사들은 자신들의 자문 결과가 한국 측 청구 내용과 다르다는 이유로 처음엔 14%, 한시장해 3년을 주장했지만 위와 같은 근거로 의견을 개진하면서 “본인에게 관절염이 발생해도 한시장해를 말하느냐”고 반문했습니다. 그 후 몇 가지 보완서류가 있었지만 14%, 영구장애기준으로 합의금을 낼 수 있었습니다.

지금까지 삼과골절 합의사례를 살펴보았습니다. 삼과 골절은 외상성 관절염의 발생 확률이 있으며 관절염은 사고 직후에 나타나는 것이 아니라 적어도 6개월 이상 경과해서 나타나는 경우가 많다는 점입니다. 그렇기 때문에 시간을 두고 지켜보면서 합의를 고려하는 것이 좋습니다.

궁금하신 사항은 아래를 클릭해 주세요.그럼 오늘도 건강한 하루 되세요.

error: Content is protected !!