12주가 지난 뒤 4주에 한 번씩 병원에 가게 됐다.병원에 갈 날을 기다리다 보면 시간이 많이 가지 않는다고 생각하게 되는데, 2주 간격으로 가던 병원을 4주 간격으로 가게 돼 더 그랬다.
12주에 니프티 검사를 받고 괜찮을 줄 알았는데 갑자기 병원에서 전화가 와서 깜짝 놀랐다.정상이라면 문자, 비정상이면 전화로 온다는 공식으로 알고 있었지만 병원마다 다른지 호산부인과에서는 정상이라고 직접 전화로 알려줬다.ㅋㅋ)

니프티 검사지는 정말 큰일 없어.60만원이나 내고 한 검사인데 이 결과지 한 장이 전부! 그래도 99% Low Risk라고 하니 마음은 편하다. 남편은 편한 게 가장 중요하다고 잘했다고 한다.
어쨌든 니프티 검사가 잘 통과됐고 16주가 돼서야 신경관 결손 검사가 남았다. 신경관 결손 검사는 니프티 검사를 해도 추가로 받아야 한다 🙂
취약X증후군 검사는 자폐증, 정신지체 같은 유전적 요소가 있는지 확인하는 검사인데 한번 하면 두 번째부터는 하지 않아도 된다고 한다. 사실 취약X증후군 검사는 굳이 할 필요가 없다고 생각했는데 선생님이 자연스럽게 해 나가자는 식으로 말씀하셔서 그냥 했다.(호건)

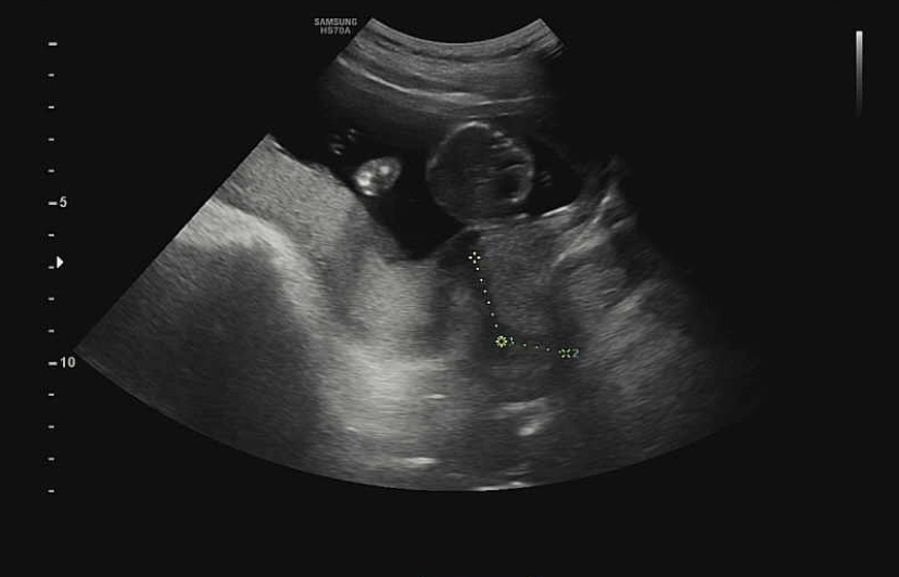
지난 초음파 영상을 보면서 처음에 재는 길이가 뭘까 했는데 자궁경부 길이라고 설명해 주셨다.자궁경부 길이가 너무 짧으면 조산 위험이 있고 임산부 사이에서는 ‘누운다’고 알려진 절대 안정을 취해야 한다.
이 경우 밥을 먹을 때 외에는 앉아 있을 수도 없다고 하니 엄마가 되기가 정말 쉽지 않다.

16주가 돼서 아기가 많이 자라서 한 초음파 화면에 다 잡히지 않는다. 그래서 머리-몸통-다리처럼 한 부위씩 돌면서 초음파를 봤다.
제일 먼저 본 머리! 뇌가 잘 정착해서 성장하고 있다고 했다. 뇌 중간 부분의 길이도 쟀지만 어떤 부위였는지는 잘 기억나지 않는다^^;처음 듣는 부위였던 것 같다.

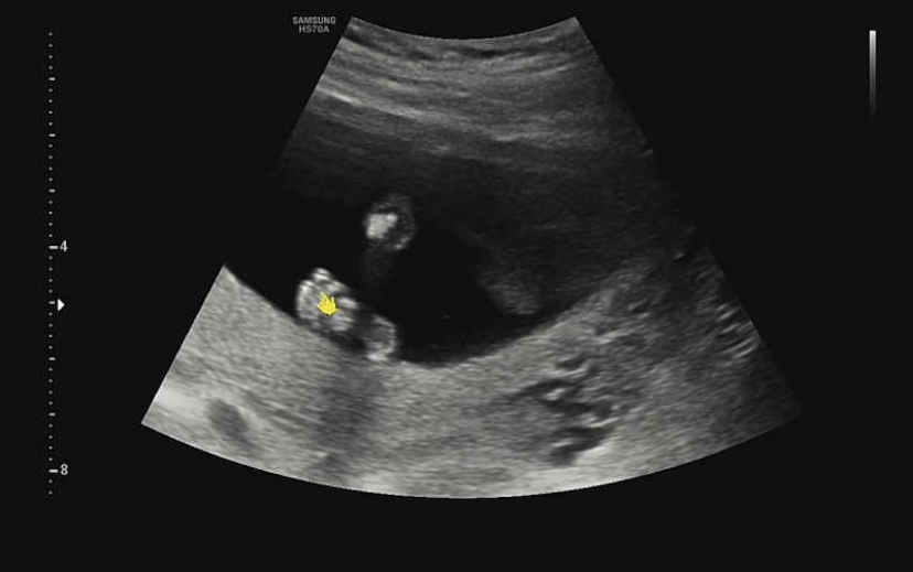
그리고 귀여운 허벅지 공개! 허벅지 뼈가 보였다. 허벅지 뼈 길이도 아이의 성장에 중요한 요소인지 길이를 꼼꼼히 쟀다.
그리고 어? 매끈하네.

우리 아이는 각도법으로 반전을 안하고 딸로 판정!처음에는 남편을 닮은 아기가 좋을 것 같아서 아들을 원했지만 지금은 딸도 좋아:-3 예쁘고 잘 키워야지!

아직 10cm밖에 안된 아기가 발바닥도 있고 발가락도 5개 있어! 발바닥은 2cm밖에 안 되는데 그 작은데 발가락이 5개나 있다니!

그리고 나름대로 아이콘택트 해준 아가씨!솔직히 내 아기인데 무서워서 놀랬어~! 해골국자라 생각했잖아. 아직 얼굴에 살이 없는 상태여서 이런 모습이라고 한다. 선생님이 안구도 잘 형성되어 있어요~라고 생각하면서 지적해주셨는데 음… 무서워…^^; 빨리 올라가 입체초음파 때 얼굴이 보고 싶어~! 우리 둘 중에 누구를 닮은 건지 궁금해 🙂

음..등뼈도 너무 잘 형성되었네(?) 초음파를 볼때마다 과학의 온라인 강의를 보는 느낌이다. 하나하나 새로운 것을 배워가는 것 같지만 감동적이고 사랑스러운 마음은 별로 들지 않는다! ^….
아직 태동도 없고 배도 잘 나오지 않은 데다 입덧도 없었기 때문에 임신 16주가 되었는데도 임신이 크게 실감나지 않는다. 그래도 조급해하지 않기로 했다!좋은 엄마가 돼야 한다는 압박도 버렸다.어차피 다시 오면 잘 해낼거야;) 나를 믿자!

지난 2021년 마지막 날 신경관 결손, 취약X증후군까지 통과해 드디어 기형아 검사의 고비를 넘겼다.
