경기도 성남시 수정구 수정로 2 91 산성역 포레스티아 서문상가 4층
안녕하세요. 산성역 서울마디 튼튼재활의학과 김희상 원장입니다.오늘은 초음파 검사 및 충격파 치료의 유용성에 대해 이야기를 하도록 하겠습니다.
어떤 환자분이 오른쪽 어깨 통증으로 병원에 오셨어요.이 분은 지난 1년 동안 여러 병원에서 주사 치료, 물리 치료, 약물 치료, 도수 치료, 충격파 치료까지 많은 치료를 했지만 이렇다 할 호전이 없다고 하셨습니다.
하지만 진단명은 정확하게 듣지 않은 상태에서 치료만 계속 반복하고 있었습니다.
저는 정확한 진단을 위해 어깨 엑스레이 검사와 초음파 검사를 권유했습니다만, 환자에게는 이미 많은 검사를 받고 있습니다만, 중복 검사가 필요하냐고 반문하셨습니다.
초음파검사는 검사하는 의사의 실력에 따라 진단 결과가 천차만별이고 초음파 기계도 여러 종류가 있기 때문에 어떤 기계로 검사하느냐에 따라 진단 결과가 크게 좌우될 수 있다고 설명하였습니다. 충분한 설명을 들은 환자는 다시 한 번 검사를 받기로 결정하고, 저는 검사를 시작했습니다.

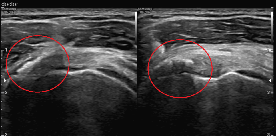
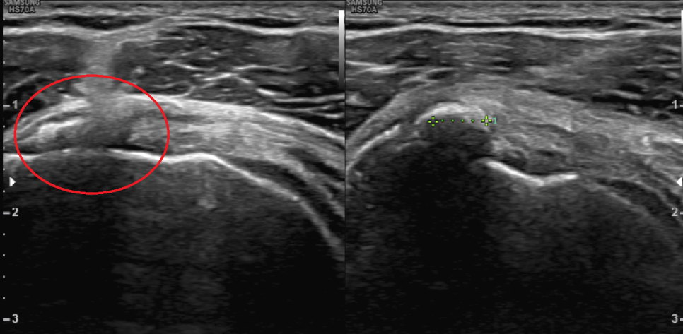
초음파 검사 후 발견된 돌덩이

초음파 검사 후 발견된 돌덩이
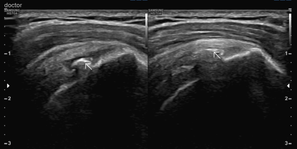
엑스레이와 초음파 검사상 환자의 양 어깨 회전근개(극상근, 견갑하근)에 석회 덩어리가 관찰되어 어깨의 움직임에 많은 제한이 있는 상태에서 관찰되었습니다. 이러한 것들을 석회성 근염이라고 하며, 유착성 피막염이라고 진단을 받게 되었습니다.
저는 통증이 오른쪽에만 있는 상태에서 충격파 치료는 오른쪽만 하도록 권유했습니다.그러나 환자는 이미 몇 번이나 충격파를 치고 있는데, 충격파 치료를 해야 하나 하고 싫어했습니다.
초음파검사가 검사하는 의사의 실력에 따라 검사 결과가 천차만별이듯이 충격파 치료도 어떤 브랜드와 등급의 기계를 사용하느냐에 따라 치료 효과가 달라진다고 설명하자 환자들은 수긍하고 치료를 시작했습니다.
저희 병원은 세계 최고의 브랜드인 스툴스 충격파를 보유하고 있는 것입니다.
