60대 초반 여성 “이틀 전부터 허리가 아팠는데…” 윗배를 누르면 아프다.” 누르기 전에 증상은? 가스차는 정도의 증상이다.”
지난해 위암검진 등 대장내시경 병력 없음
신체검사 시 명치 압통? 대동맥 촉지에 의한 정도의 반응? 정상 반응?
복부초음파 시행 췌장 등 고형 장기는 대부분 잘 관찰됐고 종괴성 병변은 관찰되지 않았다.
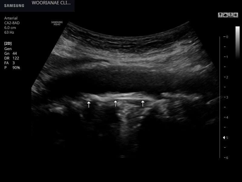
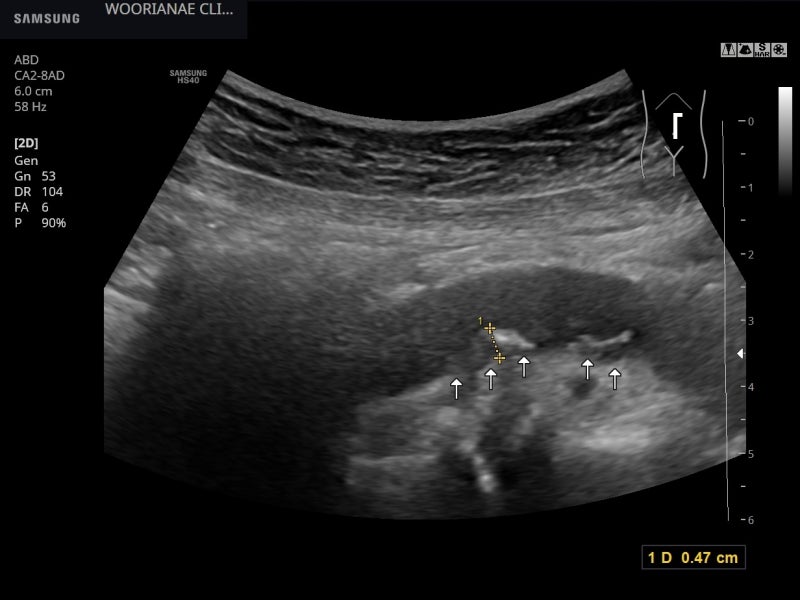
대동맥의 비틀림 등을 제거하기 위해 혈관도 관찰하는데… 명확한 동맥경화, 플라크(plaques)가 관찰된다; 20대부터 흡연력

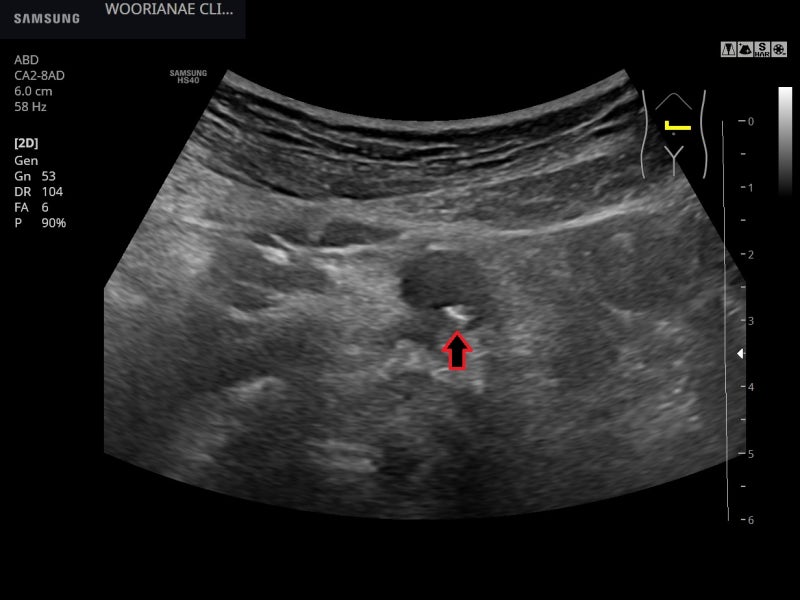
비틀림형 확장 소견(aneurys malchange)은 없었으며 동맥 주변에 저음영 이상 소견은 관찰되지 않았다.

참조 > 저음영으로 보이는 후복강섬유화

플라크를 타고 흐르는 혈류의 모습

마른 체형의 경우 대동맥촉지로 인한 통증은 정상반응일 수 있어 구별이 필요하며, 이 경우 팽만감에 대해 증상적 투약한 후 고지혈 평가 및 … 투약 결정
복통은 없었던 췌장암, 위 여성환자 검사 중 예로 설명하고 있는데, 가까운 사람으로 확인된 http://blog.naver.com/ejercicio/222135948533https://blog.naver.com/ejercicio/222135155071 상기 환자분의 문자 안내를 받고 다음날 내원 초음파 시행 전반적…blog.naver.com
흡연 여부에 따라 부부가 볼 수 있는 경동맥내막 차이 http://blog.naver.com/ejercicio/221468387926 부부가 검진을 위해 내원 50대 초반 남성진료실 혈압 128/76 가족력 뇌경색 흡연 하루에 반갑폐기능검사…blog.naver.com
동대문구 답십리 우리안애, 우리안봉내과, 건강검진클리닉내과 전문의 정병용 www.loveinwoori.com 동대문구 답십리내과, 건강증진센터입니다. 5대 암을 비롯한 국가건강검진 및 초음파, 내시경 클리닉을 통해 지역주민에게 전인적 의료서비스를 제공하고자 합니다.www.loveinwoori.com
#동대문구내과 #성동구내과 #광진구내과 #답십리내과 #장안동내과 #청량리내과 #한양대역 #왕십리역 #답십리사거리 #촬영소사거리 #전농동내과 #내과 #건강검진 #위내시경 #대장내시경 #갑상선초음파 #경동맥초음파 #심장초음파 #암검진 #래미안위브아파트 #엘림스크에어 #아파트 #한양동아파트